Join us on a journey to restore your smile with our all-inclusive price from £1,900 (payable in three stages) for a single tooth implant. This covers all necessary CT scans, implant placement, and the crown, ensuring you have a seamless experience.
If you’re curious about dental implants or have any questions, we’d love to chat and help you out!—Please feel free to reach out through our CONTACT FORM.
We are one of the few providers of PRF application in oral surgery and dental implants, and have on site CT scanner. Learn about PRF by visiting our PRF page
Begin your implant journey with us by completing the contact form! We’re excited to connect and will follow up promptly. With our expertise and experience, you’re in good hands!





Examples of our work.
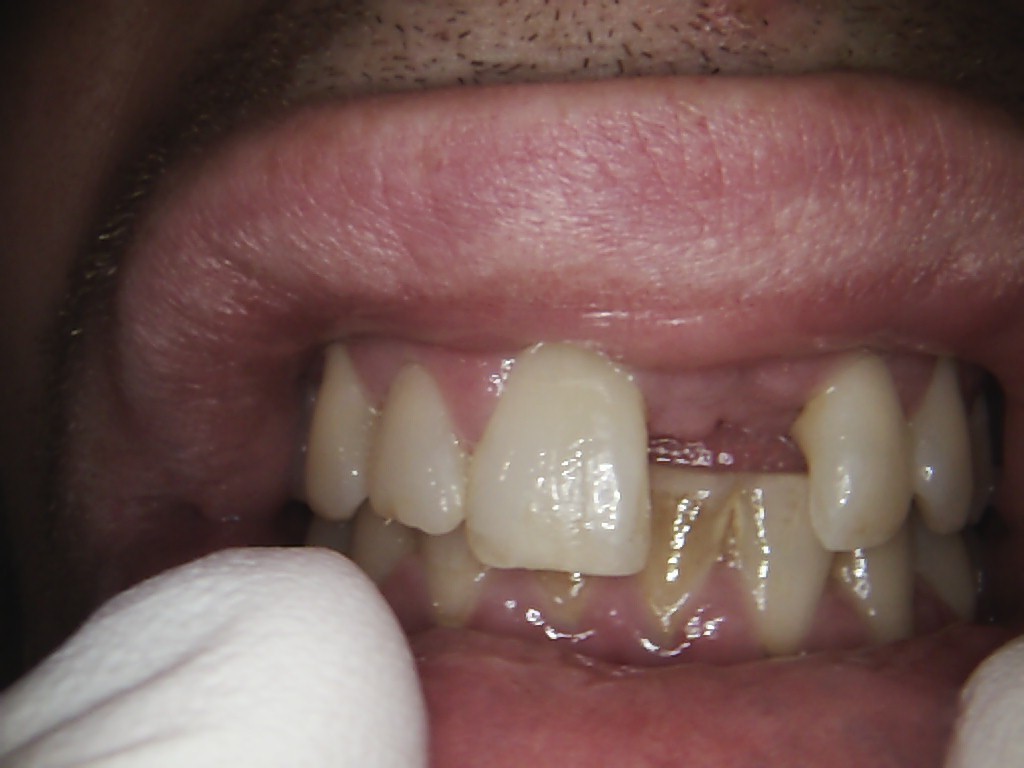
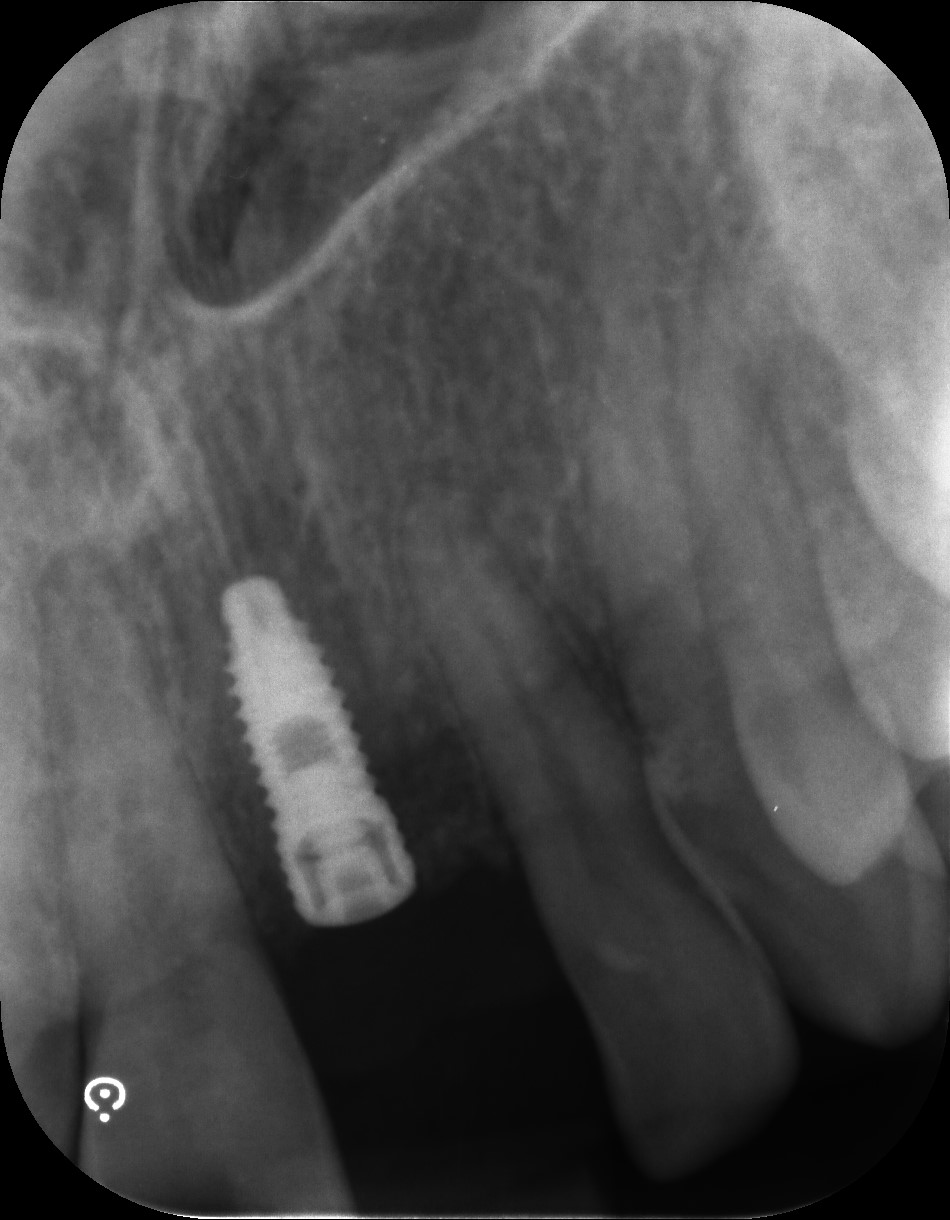
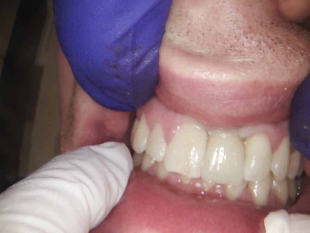
Single front tooth case



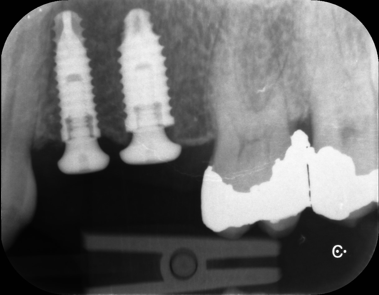
Multiple Teeth case with Sinus Lift



Full Mouth Case with Snap-on-Locator Dentures


